La periodoncia es la especialidad de la odontología que previene, diagnostica y trata las enfermedades de las encías y tejidos de soporte del diente. Estas enfermedades afectan al 90% de los adultos mayores de 35 años y es la primera causa de pérdida de dientes en la población mundial.
PERIODONCIA
Las enfermedades periodontales
Las más comunes son la gingivitis y la periodontitis. La gingivitis es una inflamación de los tejidos de soporte sin afectar al hueso. La periodontitis, además, provoca la pérdida de hueso. Si no lo tratamos, los dientes irán perdiendo hueso hasta que se caen.
El tratamiento de la periodontitis inicia con una fase higiénica dónde se eliminan todos los factores que causan la enfermedad, como la presencia de placa o cálculo, y se instruye al paciente a mejorar su higiene oral en casa.
En casos donde la pérdida de hueso ya es avanzada, se necesita tratamiento quirúrgico para evitar la progresión de la enfermedad.

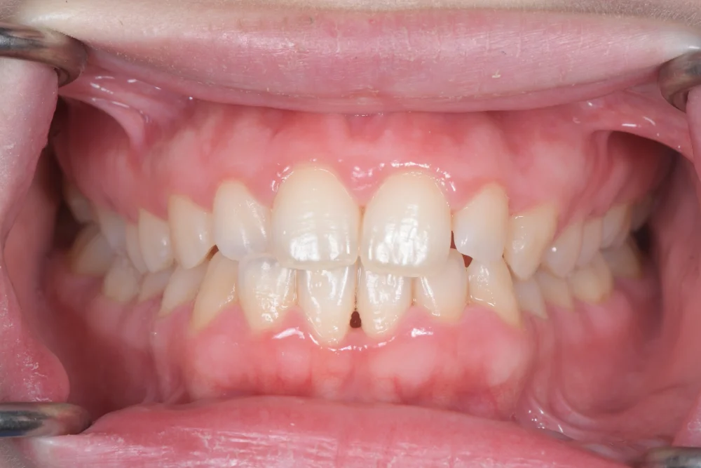
¿Has padecido alguno de estos síntomas?
- Encías inflamadas o dolorosas
- Sangrado de encías
- Dientes que se mueven
- Mal aliento
- Aparición de recesiones, es decir, empieza a verse la raíz de algunos dientes
- Aumento de la sensibilidad dental
Tratamiento de las enfermedades periodontale
Como expertos en periodoncia en Terrassa, hemos realizado numerosos tratamientos de las enfermedades periodontales a lo largo de los años. En función de las condiciones de cada paciente, el tratamiento puede constar de varias etapas:

Profilaxis profesional o limpieza dental
A pesar de que tengas en mente la necesidad y la importancia de cepillarse los dientes como mínimo 2 veces al día, puede ocurrir que no logres eliminar por completo todos los restos de suciedad de su superficie, lo que se conoce como placa bacteriana. Se trata de una fina película de bacterias que se adhiere a la superficie de los dientes si estos no se limpian de manera adecuada.
Cuando pasa el tiempo y no se ha logrado retirar toda esta película, se convierte en sarro, lo que incrementa la probabilidad de padecer enfermedades periodontales como la gingivitis o la periodontitis.
El sarro no se puede eliminar mediante un cepillado común en casa, por lo que resulta inevitable acudir a la consulta del dentista para realizar una limpieza dental profesional o profilaxis.

Curetaje dental o raspado y alisado radicular
El curetaje dental es el tratamiento más utilizado para frenar la evolución de las enfermedades periodontales, logrando terminar con la infección periodontal en la mayoría de los casos.
El tratamiento es indoloro (se realiza con anestesia local) y no presenta complicaciones, por lo que es una opción muy recomendable para tratar las enfermedades periodontales.
Cirugía periodontal
En los casos en los que el curetaje no haya conseguido frenar la evolución de la enfermedad, será necesario recurrir a la cirugía periodontal.
La cirugía periodontal es un procedimiento quirúrgico sencillo que se realiza bajo anestesia local. Tiene como objetivo acceder a la raíz para eliminar restos de cálculo y reducir las bolsas periodontales.
En ausencia de bolsas, las bacterias no tendrán dónde anidar si tenemos una buena higiene y por lo tanto, no perderemos más hueso y podremos mantener nuestros dientes.
El procedimiento no es doloroso y podrás retomar tu actividad normal al acabar. Es probable que al principio notes más espacio entre los dientes y un aumento de la sensibilidad. El tiempo, una higiene exhaustiva y algo de paciencia reducirán la hipersensibilidad.
Independientemente del proceso necesario para eliminar la infección periodontal, lo fundamental es acudir a una clínica con especialistas en el tratamiento. Si buscas un experto en periodoncia en Terrassa, en Estoclinic podemos ayudarte.

¿Qué es el mantenimiento periodontal?
Finalizado el tratamiento activo de la enfermedad periodontal, siempre necesitamos establecer unas visitas periódicas de control e higiene que nosotros llamamos mantenimiento.
La frecuencia de estas visitas la determinamos dependiendo del riesgo individual de cada paciente a volver a padecer periodontitis. Durante estas visitas, la higienista controla tu nivel de placa, si hay sangrado, presencia de inflamación o bolsas, elimina todo el cálculo y la placa mediante profilaxis y/o raspado según se necesite y repasa las técnicas de higiene oral en casa.
En caso de padecer inflamación o corroborar la presencia de bolsas, se necesita la visita del periodoncista que determinará un plan de acción. Es importante entender que la enfermedad es crónica, y que por lo tanto, requiere una atención siempre.
Preguntas más frecuentes sobre Periodoncia
1. ¿Por qué tengo pérdida de hueso si me cepillo los dientes? ¿Qué causa esta enfermedad?
La causa primaria de la enfermedad es la placa bacteriana. Un tipo de bacterias específicas crean la inflamación gingival y desatan una cascada de señales en nuestro cuerpo que desencadenan la pérdida de hueso.
Con todo, es cierto que otros agentes como la susceptibilidad genética, inmunodeficiencias, tabaco, ciertas enfermedades sistémicas, el estrés, etc. pueden provocar un desarrollo más rápido de la enfermedad.
Si aprendemos una técnica eficiente de cepillado y acudimos a los controles periódicos con la higienista o el dentista/periodoncista, la enfermedad se puede curar y la pérdida de hueso cesa.
2. ¿Se pueden cubrir mis raíces si he perdido encía?
A la pérdida de encía, nosotros le llamamos recesión. Las recesiones pueden provocar sensibilidad, caries radicular, molestias al cepillado y son un problema estético. Determinadas recesiones son muy predecibles de cubrir, mientras otras, debido a la pérdida de hueso será muy difícil cubrirlas. Para cubrir las encías podemos colocar un trocito del paladar o sustituto. El resultado es muy estético y elimina todas las molestias y el riesgo de caries.
3. ¿Pueden padecer pérdida de hueso los implantes?
Igual que los dientes padecen gingivitis y periodontitis, los implantes pueden padecer mucositis y peri-implantitis, respectivamente. En la mucositis se observa inflamación de los tejidos alrededor del implante sin pérdida ósea, mientras que en peri-implantitis se ha empezado a perder soporte óseo. Esta es una de las razones por las que damos tanta importancia a los controles después de colocar un implante, sobretodo en aquello pacientes con antecedentes de enfermedad periodontal.
El tratamiento de la peri-implantitis es complejo y requerirá cirugía para limpiar el implante. En algunos casos, se podrá regenerar parte del hueso perdido, en otros donde la pérdida ósea es avanzada, nos veremos obligados a extraer el implante.
En Estoclinic terrassa te ofrecemos el mejor cuidado para tu salud bucodental realizando tratamientos dentales de periodoncia.
Nuestros tratamientos dentales de periodoncia te ayudarán a mantener tu boca sana.
En contacto estoclinic encuentras como llegar a la clínica.
También en contacto encuentras el teléfono para pedir cita.
conex-nos a les xarxes socials com facebook, twitter o Instagram.
